HEXA | DIAGNÓSTICO VETERINÁRIO ESPECIALIZADO
O primeiro laboratório da baixada santista dedicado exclusivamente ao diagnóstico anatomopatológico em Medicina Veterinária
HEXA DIAGNÓSTICO VETERINÁRIO ESPECIALIZADO
Serviços
Conheça nossos diagnósticos especializados para cada necessidade da rotina veterinária. Clique em "instruções" para conferir as instruções de coleta e envio.


Histopatológico
Análise microscópica do tecido biológico, usado para a identificação de doenças neoplásicas, inflamatórias, infecciosas e malformações.


Citopatológico


Anatomopatológico Transcirúrgico
Exame de análise microscópica de tecido biológico durante o procedimento cirúrgico.


Exame
Necroscópico
Exame anatômico e microscópico do cadáver, visando determinar a causa mortis.


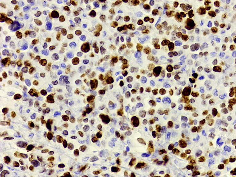
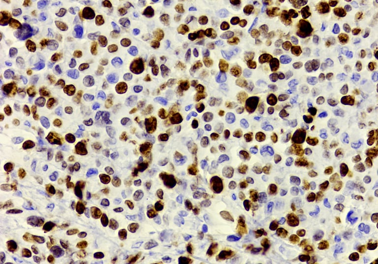
Imunohistoquímico
Análise microscópica de anticorpos biológicos, sendo usada principalmente para a classificação de doenças neoplásicas.
Análise microscópica de células biológicas, podendo ser usado para a identificação de doenças neoplásicas e infecciosas

Sobre o HEXA
O HEXA - Diagnóstico Veterinário Especializado, é o primeiro laboratório da baixada santista a se dedicar exclusivamente ao diagnóstico anatomopatológico em Medicina Veterinária.
Iniciamos as atividades em 2023, e no período de 2 anos temos mais de 3.000 exames anatomopatológicos realizados, reafirmando nossa rápida credibilidade e qualidade no setor de diagnósticos anatomopatológicos.
Atualmente somos parceiros das maiores clínicas veterinárias e laboratórios veterinários da baixada santista. Garantimos além de um exame de qualidade e ágil, um contato direto e simplificado com o Patologista responsável, para elucidação dos casos mais complexos.
Fundador e responsável pelo HEXA, o Médico Vetetinário Murilo Bassotti possui Graduação em Medicina Veterinária pela FMVZ-USP e Especialização em Anatomia Patológica pela UFG-GO, concentrando sua atuação especializada em Citopatologia, Patologia Cirúrgica e Imuno-histoquímica.
Sobre o HEXA
O HEXA - Diagnóstico Veterinário Especializado, é o primeiro laboratório da baixada santista a se dedicar exclusivamente ao diagnóstico anatomopatológico em Medicina Veterinária.
Iniciamos as atividades em 2023, e no período de 2 anos temos mais de 3.000 exames anatomopatológicos realizados, reafirmando nossa rápida credibilidade e qualidade no setor de diagnósticos anatomopatológicos.

Atualmente somos parceiros das maiores clínicas veterinárias e laboratórios veterinários da baixada santista. Garantimos além de um exame de qualidade e ágil, um contato direto e simplificado com o Patologista responsável, para elucidação dos casos mais complexos.
Fundador e responsável pelo HEXA, o Médico Vetetinário Murilo Bassotti possui Graduação em Medicina Veterinária
pela FMVZ-USP e Especialização em Anatomia Patológica pela UFG-GO, concentrando sua atuação especializada em Citopatologia, Patologia Cirúrgica e Imuno-histoquímica.
Blog
Compartilhando conhecimento para fortalecer a prática veterinária
Nossos Clientes









© 2025. All rights reserved.
O primeiro laboratório da baixada santista dedicado exclusivamente ao diagnóstico anatomopatológico em Medicina Veterinária
Contato
Horário de Atendimento
Seg-Sex: 8-18hs


